Полицейским пришлось поместить ее в больницу и два дня отслеживать ее походы в туалет.

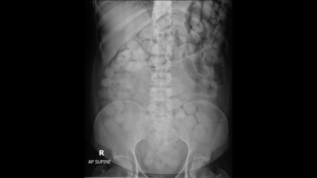
23-летняя Евгения прилетела из Стамбула во Внуково и почему-то попала под подозрение сотрудников таможни. Рентген показал, что внутри Евгении целая куча каких-то свёртков.

Пассажирку задержали и увезли в больницу. Следующие два дня походы Евгении в туалет тщательно контролировала полиция. Вскоре такой надзор дал результат.

Помимо прочего, оказалось, что в девушке поместились 90 чёрных свертков с неизвестным веществом. Их отправили на экспертизу и та показала, что в Евгении путешествовало аж 446 грамм кокаина — теперь по делу о контрабанде ей грозит до двадцати лет.

via

Во Внуково задержали девушку с полкило кокаина в желудке

Читать дальше...
Jus События 29.01.2023 - 20:07 Комментарии (197) Ссылка
Он создал персонажей мультфильмов «Кот Лепольд», «Мама для мамонтенка», «Крошка Енот» и других, сообщил шеф-редактор «Союзмультфильма» Сергей Капков. Назаруку был 81 год.

Умер художник-постановщик Вячеслав Назарук

Читать дальше...
Assoroff События 29.01.2023 - 17:37 Комментарии (27) Ссылка
Пока она готовила еду для полицейских. Женщина написала заявление, но оперативники сказали, что преступника вряд ли поймают. И вообще, она сама во всём виновата.

39-летняя Наталья Геннадьевна не раз говорила знакомым, что работает в самом безопасном месте на Кубани. Поэтому деньги и ценные вещи особо не прятала, оставляла на кухне или в зале. Розовые очки спали на днях. Какой-то крыс прошмыгнул к её схрону и незаметно стащил сумку с налом.

После многочасового плача Наталья побежала к тем, кого кормит уже не первый год. Всё рассказала, попросила помочь. Но увы и ах. Товарищи полицейские развели руками, сказали, местного Питера Петтигрю вычислить не можем. И добавили: Натальгеннадьевна, нечего оставлять личные вещи где попало. Это вам не это, как грица.

via

Повариху столовой Управления МВД РФ на транспорте в Краснодаре обокрали почти на 200 тысяч рублей,
Сова82 События 29.01.2023 - 17:31 Комментарии (149) Ссылка
«Поехал суетолог менять доллары, и опрокинули. Зашёл отдал деньги, люди вышли через задний ход и с***сь».

По такой нехитрой схеме людей обманывают уже месяцами.



«Суетолог» Александр вместе с другом хотел выгодно и без банков перевести 8,5 миллионов рублей в доллары. В одной из групп «Телеграма» мужчины нашли обменник с очень хорошим курсом, и после короткой переписки их пригласили в «офис» — на первом этаже жилого дома в Текстильщиках. Туда Александр отправился один, и на месте его действительно ждал пункт обмена с кассиршей. Вот только она, получив деньги, профессионально всё пересчитала, а затем вышла из кабинета и не вернулась.

Лишь спустя некоторое время, так и не дождавшись кассиршу, Александр осознал, что его умело развели, и подключил к её поискам друга. Впрочем, мужчины оказались не одиноки в своей беде. За несколько дней до этого точно таким же образом (но по другому адресу) обманули 22-летнего Ивана, который отдал «кассиру» аж 15 миллионов рублей. Теперь сотрудников этих «обменников» ищут полицейские, хотя мошенников это едва ли остановит — схему с «конвертациями» и побегами они активно применяют как минимум с прошлого лета.

Читать дальше...
Ubix События 29.01.2023 - 15:46 Комментарии (166) Ссылка
Художник изобразил гору черепов, на которых написаны страны, которые уничтожало или уничтожает США и НАТО.

Правее человек, символизирующий "коллективный Запад" делает надпись в "поддержку Украины" под которой написано 12 дней назад.

А маленький мальчик оттягивает край пиджака "Запада" и пишет:

"(Поддержите) также (как и Украину) Палестину" с припиской "74 года назад".

Граффити палестинского художника в Копенгагене

Читать дальше...
beepest События 29.01.2023 - 15:25 Комментарии (38) Ссылка
момент побега попал на видео

Ашота Саакяна повязали на вокзале, однако при выходе из здания он бросился наутек. Его с трудом поймали правоохранители. Девушка-оператор, участвующая в погоне, материлась на задержанного словно сапожник.

В итоге у Ашота при себе оказалось 800г кокаина.



В Краснодарском крае известный тренер по боксу пытался сбежать с наркотиками при задержании

Читать дальше...
Ubix События 29.01.2023 - 15:22 Комментарии (87) Ссылка
В Петербурге вспыльчивая мамочка избила незрячую женщину. Родительнице не понравилось, что женщина якобы задела ее ребенка тактильной тростью.

Дело было на остановке у парка «Сосновка». Незрячая директор центра по подготовке собак-поводырей вместе со своим псом ждали троллейбус. Всю историю женщина помнит так: на неё обрушился гнев незнакомки (на фото справа) — оскорбления, претензии и мат.

Очевидцы пишут, что мамочка налетела на «обидчицу» со словами: «Вот тебе на! Слепые должны сидеть дома!». Она несколько раз ударила инвалида мобильным телефоном по голове.

Ситуация сильно напугала и саму девочку, которую якобы задели тростью, — она просила маму успокоиться и кричала: «Мама, не надо!».

Обидчицу забрали в отдел полиции, а пострадавшую – в больницу. У неё диагностировали закрытую черепно-мозговую.

источник

«Слепые должны сидеть дома!»
Ubix События 29.01.2023 - 15:16 Комментарии (137) Ссылка
Корейский автоконцерн Hyundai планирует возобновить работу петербургского завода. Директор департамента закупок Hyundai Motor Чон Хенчхоль заявил, что компания находиться в диалоге с Минпромторгом РФ и правительством города.

В субботу, 28 января, в Образовательном центре корейского языка и культуры Института им. короля Седжона в Северной столице прошла встреча, в ходе которой директор департамента закупок Hyundai Motor Чон Хенчхоль заявил о планах возобновить работу петербургского завода. Об этом сообщает «Деловой Петербург».

Чон Хенчхоль отметил, что они находятся в «каждодневном поиске, как начать работу». К этому подключился не только Минпромторг, но и правительство Петербурга, которое, по его словам, «дорожит работой предприятия».

Ранее Neva.Today сообщала о том, что в Петербурге начался процесс увольнения сотрудников завода корейского автоконцерна Hyundai. Он продлится до 17 февраля 2023 года.

Процедуру планируется провести в два этапа. В первый день сотруднику необходимо подписать соответствующее соглашение, а во второй подписывается оставшаяся часть документов и сотрудник получает личные документы на руки. Об этом сообщает ТАСС со ссылкой на сотрудника завода.

Отметим, что автомобильный завод

Корейский автоконцерн Hyundai ищет возможности возобновить производство в Петербурге

Читать дальше...
Andrey2564 События 29.01.2023 - 15:08 Комментарии (197) Ссылка
28 января в селе Хурба Хабаровского края пропала сразу группа детей. Все четверо пропавших — мальчики: Александр Бестужев, Кирилл Соколов, Глеб и Михаил Бельды. Поисково-спасательные отряды уже забили тревогу и принялись к масштабным работам, потому как спустя сутки после пропажи нет никаких новостей.

Самому младшему из мальчиков — Саше — девять лет. Голубоглазый мальчик с темно-русыми короткими волосами был одет в черные штаны, черные ботинки, черную куртку и темно-серую вязаную шапку. Рост Саши Бестужева — 130 сантиметров.

13-летнего Кирилла Соколова в последний раз до исчезновения видели в темно-синей куртке, черных штанах, черных ботинках и темно-синей вязаной шапке. Рост Кирилла — 140 сантиметров, светлые волосы и голубые глаза.

Глеб Бельды ростом 160 сантиметров, в день пропажи был одет в черную шапку, черные штаны, черные ботинки и черную куртку. Глебу 14 лет, черные волосы и карие глаза.

Самый старший из ребят — 16-летний Михаил Бельды — как и Глеб, имеет рост 160 сантиметров. Глаза серые, волосы черные, но совсем короткие. На Мише была зеленая шапка, черные ботинки, черные штаны с белыми надписями и черная куртка с эмблемой «Nike».

В последний раз всех четверых видели в районе улицы Молодежной села Хурба. Сотрудники поисково-спасательного отряда «Лига Спас» просят всех, кто обладает какой-либо информацией местонахождении детей и тех, кто желает присоединиться к поискам, звонить по следующим номерам телефонов: +7 914 192 41 97, +7 914 167 37 77.

Нынешние морозы — самое жестокое время бесследных исчезновений, поэтому медлить с имеющейся информацией не стоит. Важна любая деталь.

тут

Внимание! Потерялись дети.

Читать дальше...
MrAndrei События 29.01.2023 - 13:17 Комментарии (88) Ссылка
Село Благодатное, расположенное к юго-западу от Соледара, перешло под контроль российских сил, заявил основатель ЧВК «Вагнер» Евгений Пригожин.

«Подразделения ЧВК «Вагнер» взяли Благодатное. Благодатное под нашим контролем», — цитирует его РИА Новости.
via

Пригожин заявил об освобождении села Благодатное в ДНР

Читать дальше...
хондовод События 29.01.2023 - 12:40 Комментарии (552) Ссылка
Украинский замминистра иностранных дел и бывший посол Украины в ФРГ Андрей Мельник обратился к германским властям с просьбой предоставить Киеву подводную лодку.

«Германия (фирма ThyssenKrupp. — Ред.) производит одну из лучших подводных лодок в мире — HDW — Class 212A. Бундесвер имеет шесть таких подводных лодок. Почему бы не отправить одну на Украину? Это может вытеснить российский флот из Черного моря», — заявил Мельник в Twitter 28 января.

https://iz.ru/export/google/amp/1461863?utm...content=1461863

Экс-посол Украины Мельник попросил ФРГ передать Киеву подводную лодку
Andrey2564 События 29.01.2023 - 12:12 Комментарии (163) Ссылка
Швеи ЗАТО Александровск шьют тёплую одежду для участников СВО

Только за две недели нового года было сшито 206 комплектов. Вещи переданы в пункты приёма дополнительной помощи.

«В нашем маленьком производстве задействовано более 50 швей – любительниц, которые вкладывают в работу всю свою душу, любовь, заботу, тепло и веру. Вместе – мы сила!», – уверена координатор движения «Северяночки шьют для наших» Юлия Лось.

В акции «Север помогает» активно участвуют жители всех муниципалитетов области. Каждый в меру своих сил и возможностей помогает северянам – участникам специальной военной операции.

Швеи  Александровска сшили тёплую одежду для участников СВО

Читать дальше...
SAMURAI51 События 29.01.2023 - 12:10 Комментарии (60) Ссылка
В больницу 85-летнего Николая Николаевича доставили с многочисленными переломами ребер. Оказалось, что Дроздов неудачно упал на улице, когда возвращался с работы в МГУ.

- Врачи зафиксировали у него переломы 8 ребер, - рассказывает друг Дроздова, художник Константин Мирошник. - Эту неделю было очень тяжко, Николая Николаевича мучили сильные боли. Ему постоянно колют обезболивающее, чтобы облегчить состояние. Он держится молодцом, не унывает.
На днях Дроздова перевели из реанимации в отдельную палату. В больнице рядом с ним находится дочка: других посетителей в клинику не пускают.

- В больнице Николай Николаевич окружен заботой медперсонала: в этом плане все отлично, - продолжает Мирошник. - Гипс врачи накладывать не стали: ждут, когда ребра срастутся сами. Николай Николаевич - мужественнейший человек. Он не теряет оптимизма. Старается держаться. Я с ним на связи почти каждый день. Голос уже стал лучше. Рассказывает мне анекдоты про Штирлица и уже грезит о дальнейших путешествиях.

- Врачи говорят, что еще неделю он проведет больнице, - делится Константин. - А потом его отпустят домой. Всего же полное восстановление, по прогнозам врачей, будет длиться два месяца»

источник

Николай Дроздов попал в реанимацию
Ubix События 29.01.2023 - 12:01 Комментарии (200) Ссылка
Аргентина не будет отправлять оружие Украине, сообщил президент страны Альберто Фернандес в ходе совместной пресс-конференции с канцлером ФРГ Олафом Шольцем. По его словам, примеру Буэнос-Айреса последуют и другие латиноамериканские государства.

Кроме того, снаряды для танков самой Германии не будет передавать и Бразилия, которая не хочет, чтобы они оказались на Украине. По словам же Фернандеса, вся Латинская Америка не будет отказываться от контактов с Москвой, а санкций вводить не планируется.

Readovka

Латинская Америка не будет отправлять киевскому режиму оружие
Reichstag События 29.01.2023 - 11:25 Комментарии (73) Ссылка
Япония не может согласовать межправительственные консультации по соглашению о морском промысле для японских рыбаков в районе южных Курильских островов в условиях антироссийских санкций, пояснили в МИД России 29 января.

«В условиях предпринятых правительством Японии антироссийских мер, которые со всей очевидностью идут вразрез с духом и буквой соглашения 1998 года об укреплении и развитии добрососедства, российская сторона проинформировала Токио, что не может согласовать проведение межправительственных консультаций по выполнению данной договоренности», — заявили в ведомстве «РИА Новости».

В посольстве Японии в Москве подтвердили, что уведомление от РФ о невозможности согласовать сроки консультаций по промыслу в водах вокруг Курильских островов получено. Японская сторона пообещала добиваться переговоров на этот счет.

Для возвращения к нормальному диалогу японским соседям следует проявить элементарное уважение к России и стремление к выправлению двусторонних отношений, указали в министерстве.

источник

МИД объяснил нежелание РФ консультироваться с Японией по промыслу ресурсов у Курил
Andrey2564 События 29.01.2023 - 10:26 Комментарии (155) Ссылка
Палудан заявил, что спортсмен оскорбил его, назвав террористом.

«Есть чеченец по имени Хамзат, который, по-видимому, сейчас занимается борьбой в Швеции, хотя его родина – Чечня. Он оскорбил меня… Я думаю, что из-за того, что он оскорбил меня, вся Чечня должна получить от меня особое "приветствие" в виде сожжения Корана перед российским посольством, потому что, как вы знаете, Чечня — это даже не страна, это просто маленькая часть России, очень незначительная часть.

Хамзат Чимаев - не швед. Он никогда не будет шведом. У него нет шведского имени. Он чеченец. Ему трудно контролировать свой характер. Он часто злится, как маленькая девочка. Он очень женственный. Думаю, могу сжечь книгу перед российским посольством в ответ на его оскорбление и специальным приветом для всех чеченцев»

Ubix События 29.01.2023 - 08:20 Комментарии (169) Ссылка
Где-то в Австралии потеряли радиоактивную капсулу, которая по размеру меньше, чем монетка

Теперь капсула 8 мм x 6 мм с цезием-137 внутри лежит где-то на трассе, длиною в 1400 км. Нахождение в непосредственной близости от него эквивалентно 10 рентгенам в час.

Восстание кенгуру-мутантов, уже скоро
Jdund События 29.01.2023 - 06:02 Комментарии (126) Ссылка
Сводная сестра Анны Франк, пережившая Холокост Ева Шлосс утверждает, что фотографии советского освобождения Освенцима являются поддельными, потому что солдаты не имели с собой камер, и были сделаны в других лагерях.

То есть она пока не утверждает, что русские не освобождали лагерь, но это следующий этап.

Вчера только все остались недовольны картинкой про то, что пришли советские солдаты и всё испортили. А тут нате вам. Скоро, видимо, переделают всё. И что фашистская Германия была супер, а СССР злой напал. Давайте минусуйте.

Ссылка на новость, но только на английском.
https://www.dailymail.co.uk/femail/article-...hwitz-FAKE.html

Читать дальше...
egor2005 События 29.01.2023 - 06:01 Комментарии (178) Ссылка
Денацификация Украины займет долгие годы, поскольку придется вырастить новое поколение украинцев вне фашисткой идеологии. Об этом заявил бывший офицер спецназа, экс-разведчик, участник конфликта в Афганистане, полковник в отставке Анатолий Матвийчук.

«Денацификация — это очень тяжелая задача. 30 лет молодых людей на Украине воспитывали совсем в другом мире. Их воспитывали в мире иллюзий. Им вбивали в головы, что они самые-самые, что они неземные люди, Ануннаки (младшие боги в шумерской мифологии — прим. ред.). Что они выкопали море, Тутанхамон — это их родственник, Иисус Христос — украинец. Самое главное, что им ничего за это не будет. Это идеология фашизма, нацизма. Нам нужно будет воспитать абсолютно новое поколение, новую нацию, которая будет жить в реальном мире, читать реальные книги, реальную историю. Мы не призываем к любви к России, но дружеское отношение между соседями должны существовать», — сказал Анатолий Матвийчук.

Выполнить другую основную цель специальной операции гораздо легче, отметил военный эксперт. «Демилитаризация — это легко. Мы должны лишить экономического потенциала эту фашистскую страну, и я не знаю, позволим ли мы потом ей возродиться или нет. Это будет зависеть от нашей доброй воли», — подчеркнул полковник в отставке.

via

А.А.Матвийчук

Полковник Матвийчук: на достижение основной цели спецоперации уйдут десятилетия

Читать дальше...
Cw17 События 29.01.2023 - 05:35 Комментарии (431) Ссылка
Хоккеисты клуба «Нью-Йорк Рейнджерс» отказались от участия в акции в поддержку ЛГБТ перед матчем Национальной хоккейной лиги (НХЛ) против «Вегас Голден Найтс». Об этом сообщает Fox News.

«Наш клуб уважает сообщество ЛГБТ, и мы гордимся тем, что привлекаем внимание к важным местным общественным организациям. В соответствии с основными ценностями нашей организации мы поддерживаем право каждого уважительно выражать свои убеждения», — говорится в заявлении команды. При этом имена игроков, отказавшихся надевать форму в поддержку ЛГБТ, не называются.

Матч прошел 28 января в Нью-Йорке и завершился со счетом 4:1 в пользу хозяев. Перед встречей было объявлено, что игроки «Рейнджерс» выйдут на раскатку в специальных джерси и используют радужную изоленту на клюшках, однако ничего из этого не было исполнено. В составе клуба выступает трое россиян: нападающие Артемий Панарин и Виталий Кравцов, а также вратарь Игорь Шестеркин.

P.S. Панарина помню ещё по "Витязю" по-хорошему отмороженый чувак))) Наверное тут без него не обошлось)

via

Хоккеисты «Рейнджерс» отказались от акции в поддержку ЛГБТ перед матчем НХЛ

Читать дальше...
Сиськолог События 29.01.2023 - 04:51 Комментарии (72) Ссылка
В Иране прогремело несколько взрывов на стратегических объектах страны — на иранскую военную инфраструктуру совершена атака БПЛА.



"Вечером 28 января 2023 года около 23:30 была проведена неудачная атака с использованием беспилотников на один из центров Минобороны, — говорится в заявлении министерства обороны Ирана. — Один из них был сбит комплексом ПВО, а два других попали в оборонительные ловушки и взорвались"

Израиль начал специальную военную операцию в Иране

Читать дальше...
Дудушкин События 29.01.2023 - 01:57 Комментарии (1341) Ссылка
Как нам стало известно, суд оштрафовал на 20 000 рублей вчерашнего дебошира из маршрутки.

ПРУФ

Хулиган из маршрутки оштрафован

Читать дальше...
SAMURAI51 События 29.01.2023 - 01:08 Комментарии (39) Ссылка
loading..


Активные темы



Январь 2023

Пн Вт Ср Чт Пт Сб Вс

 

 

 

 

 

 

1
2 3 4 5 6 7 8
9 10 11 12 13 14 15
16 17 18 19 20 21 22
23 24 25 26 27 28 29
30 31

 

 

 

 

 

« Дек 2022Фев 2023 »

Друзья


Популярные темы





Объявления



Наверх